Accessible Version
Los Gatos Family Dentistry
Dr. Patricia Phan - Los Gatos, CA

Smile Gallery

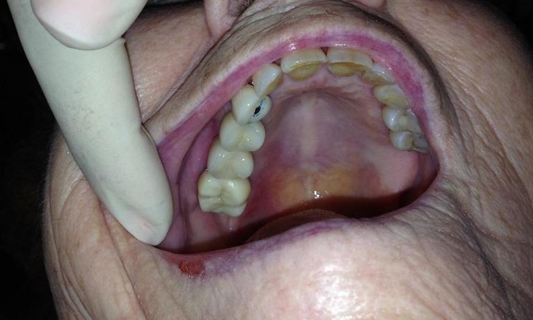
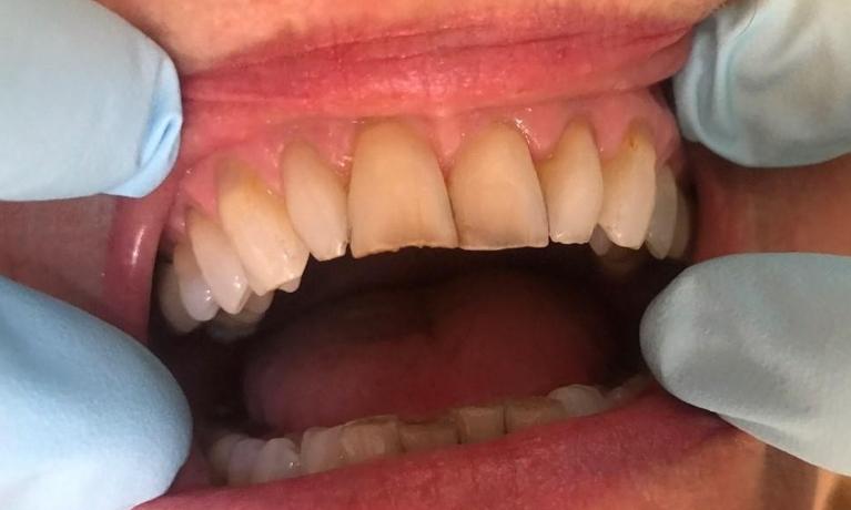
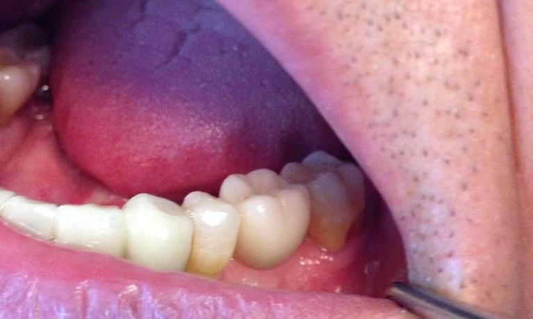
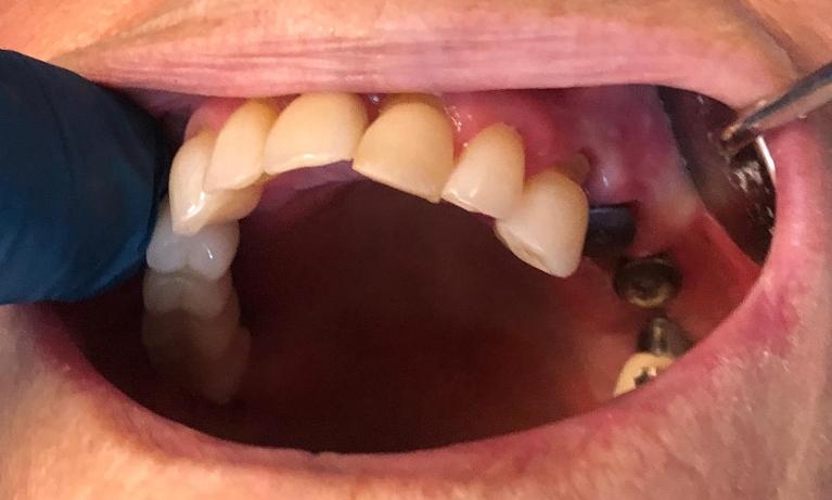
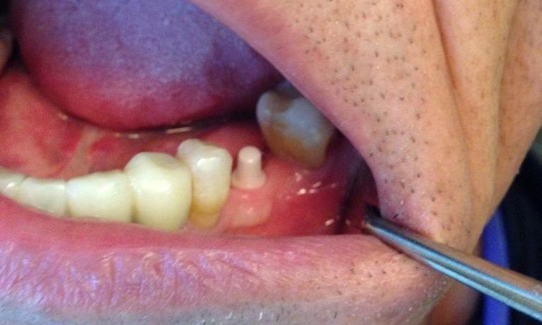
Whether you are dealing with cavities, broken or missing teeth, or any other dental concern, we have the solution you need at Los Gatos Family Dentistry. With a wealth of high-quality dental services, we help our patients achieve healthier and more attractive smiles. Please take a moment to browse through our before and after pictures of actual patients we have helped.

Still need an appointment?
I was so impressed by all of the precautions your practice has taken during the COVID-19 outbreak

I was so impressed by all of the precautions your practice has taken during the COVID-19 outbreak. As a senior, I have been strictly following the county health guidelines. I was reassured by the detailed communications your office sent in advance of my appointment, and I felt completely safe during my appointment. Thank you for your diligence!

- Lucinda D.

If you have difficulty using our website, please email us or call us at (408) 358-5115
View the ADA Accessibility Statement
© Los Gatos Family Dentistry®
Privacy Policy