Accessible Version
Los Gatos Family Dentistry
Dr. Patricia Phan - Los Gatos, CA

Dental Implants

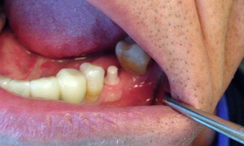
This patient did not want any metal in his mouth, so we placed an implant crown and abutment that was metal free.

Related Services:

Dental Implants
She only recommends treatment that you really need

Even though I live way north of this place and probably pass 100 dentists on my way south, it is totally worth the drive. I give them 5 stars because I trust them. The doctor takes her time with each patient, openly giving you her opinion as well as showing you x-rays and pictures (on the spot) to help you better understand what's going on. She only recommends treatment that you really need. On my last visit I had to get a filling, the procedure went great and it was painless, definitely my most comfortable filling.

During my filling they gave me a headset playing whatever i liked, it helped take my mind off my nervousness, but there was no need. I convinced my wife to change dentists also so now both of us see Dr. Phan and will continue doing so!

- Steve H.

Ready to request an appointment?
If you have difficulty using our website, please email us or call us at (408) 358-5115
View the ADA Accessibility Statement
© Los Gatos Family Dentistry®